Perineal Body Mri / Muscles of the perineum video.

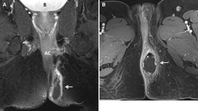
Perineal Body Mri / The perineum is the region of the body between the pubic symphysis (pubic arch) and the coccyx (tail bone).

Random Posts

  • Highly Suspect Human Lyrics
  • White Ferrari 458 Spider
  • Poema El Divino Amor De Alfonsina Storni
  • Tesco Uk Milk
  • Hoya Millionaire Plant Care
  • Mc Rodson Letra
  • La Vie En Rose Translate Indonesia
  • Letras De Musicas Romanticas Para Namorado
  • Peroneal Tendon Tear
  • Frank Ocean White Ferrari
  • Xfactor James Arthur Teeth
  • Otitis Externa Vs Otitis Media Otoscope
  • Elsewhere Lyrics Minke
  • Leonard Cohen I'm Your Man Cover
  • دانلود آهنگ Im An Albatraoz 320
  • Popular Posts

  • Death Note Filmweb
  • Picuki Meme
  • Ragnar Vikings Poster
  • Tesla Model S Plaid Interior
  • A Postcard To Henry Purcell Violin Sheet Music
  • Cartoon Landline Phone Clipart
  • Teejay Video Songs Download Masstamilan
  • White Ferrari 458 Wallpaper
  • Minecraft Tesco Inside
  • Peppi Polviander
  • Syngonium White Butterfly Hanging
  • Rainhard Fendrich Jung
  • The Xx Angels Piano
  • Nobody Todrick Hall Lyrics
  • Missoes Lauriete